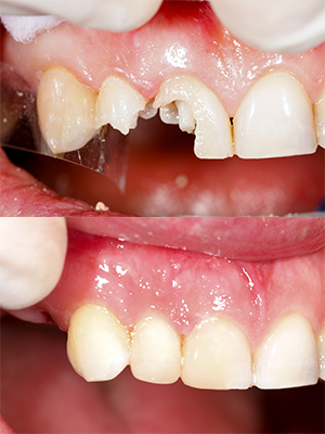
Changing Smiles by Bonding
Skill, Technology, and a little "Magic" With the wonderful age of dental bonding, teeth can be made healthy and beautiful in most cases without multiple appointments, anesthesia, temporaries and at less expense than crowns. Magic? ...



